מתרפאה תושבת חוץ כבת 57 עם חוסר שיניים חלקי בשתי הלסתות. שאר השיניים הקיימות ניידות ואבודות , איכות הלעיסה ומראה החיוך ירודים מאוד.
תכנון וביצוע שלבי הטיפול בוצעו בסיוע מחשב בצורה שצמצמה למינימום את מספר הפעמים שהמתרפאה נאלצה להגיעה ארצה וכן את משך השהיה בארץ עבור כל טיפול.
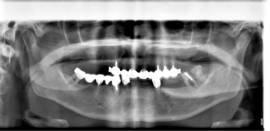
בלסת העליונה ביצענו עקירות כל השיניים בישיבה אחת עם הרמות סינוס משני הצדדים והתקנת 11 שתלים. בפגישה נוספת עבור הלסת התחתונה נעקרו גם כן כל השיניים עם ביצוע מיידי של 10 שתלים.
מייד בתום ההשתלות בכל לסת בוצעה העמסה מיידית עם גשרי אקריל זמניים שהוכנו מראש וסיפקו מענה תפקודי ואסטטי מצויין לתקופת ההמתנה.
בישיבה אחת לכל לסת בוצעו כל העקירות ,כל ההשתלות והתקנת גשר האקריל על מנת לאפשר למתרפאה לצאת עם שיניים בו ביום.
לאחר 6 חודשים וקליטת השתלים באופן מלא, קיבלה המתרפאה גשרי חרסינה קבועים ברמת דיוק ואסטטיקה מושלמים.
